Hipertansiyona Bağlı Beyin Kanaması Belirtileri ve Tedavisi
Hipertansiyon, günümüzde yaygın bir sağlık sorunu olup beyin damarlarında ciddi hasarlara yol açabilir. Bu yazıda, yüksek tansiyonun beyin üzerindeki etkileri, beyin kanamasının belirtileri ve tedavi yöntemleri ele alınacaktır. Ayrıca, bu durumu önlemek için önerilen yöntemler de paylaşılacaktır.
Hipertansiyon, yani yüksek tansiyon, günümüzde birçok insanı etkileyen ciddi bir sağlık sorunudur. Uzun süreli yüksek tansiyon, damarlarda ve özellikle beyin damarlarında hasara yol açabilir. Bu hasar, beyin kanaması gibi ciddi sağlık problemlerine neden olabilir. Bu makalede, hipertansiyona bağlı beyin kanamasının belirtileri ve tedavi yöntemleri detaylı bir şekilde ele alınacaktır. Hipertansiyonun Beyin Üzerindeki Etkileri Hipertansiyon, beyin damarlarının yapısını etkileyerek kanama riskini artırır. Yüksek kan basıncı, damarların duvarlarını zayıflatabilir ve bu durum, anevrizma (damar genişlemesi) veya damar yırtılması gibi durumlara yol açabilir. Hipertansiyonun beyin üzerindeki etkileri arasında:
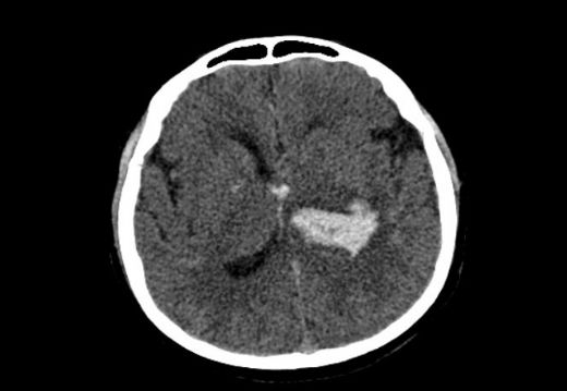
Beyin Kanamasının Belirtileri Hipertansiyona bağlı beyin kanamasının belirtileri, genellikle ani ve şiddetli bir şekilde ortaya çıkar. Bu belirtiler arasında:
Bu belirtiler ortaya çıktığında, acil tıbbi müdahale gereklidir. Tedavi Yöntemleri Hipertansiyona bağlı beyin kanamasının tedavisi, kanamanın yerine, büyüklüğüne ve hastanın genel sağlık durumuna bağlı olarak değişiklik göstermektedir. Genel olarak tedavi yöntemleri:
Önleme Yöntemleri Hipertansiyona bağlı beyin kanamasını önlemek için aşağıdaki yöntemler önerilmektedir:
Sonuç Hipertansiyon, beyin kanaması riskini artıran önemli bir faktördür. Belirtilerin ani bir şekilde ortaya çıkması, acil müdahale gerektiren durumlardır. Tedavi süreci, hastanın durumuna göre değişiklik göstermekle birlikte, önleme yöntemlerinin uygulanması hipertansiyonun kontrol altına alınmasında büyük önem taşımaktadır. Sağlıklı yaşam tarzı değişiklikleri ve düzenli doktor kontrolleri ile beyin kanaması riski önemli ölçüde azaltılabilir. |






































Hipertansiyona bağlı beyin kanaması durumunda, belirli bölgelere baskı yapılmasının kişide hareket bozukluklarına sebep olabileceğini okuyunca endişelendim. Bu durumun belirtilerini nasıl fark edebilirim ve hemen doktora başvurmalı mıyım?
Merhaba Erenay,
Endişelenmen oldukça anlaşılır. Hipertansiyona bağlı beyin kanaması ciddi bir durumdur ve belirtilerini erken fark etmek önemlidir. Beyin kanamasının belirtileri arasında aniden başlayan şiddetli baş ağrısı, bilinç kaybı, konuşma güçlüğü, görme sorunları, kol veya bacakta ani güçsüzlük veya hissizlik, denge kaybı ve koordinasyon problemleri yer alır. Eğer bu belirtilerden herhangi birini fark edersen ya da şüphelenirsen, vakit kaybetmeden doktora başvurmalısın. Erken müdahale, tedavi sürecinde büyük fark yaratabilir. Sağlıklı günler dilerim.