Beyin Kanaması Tomografi
Beyin kanaması, acil müdahale gerektiren ciddi bir durumdur. Tomografi, bu kanamaların tanısında kritik bir rol oynar, kanamanın yerini ve ciddiyetini belirleyerek tedavi sürecine yön verir. Hızlı ve etkili bir teşhis için hayati öneme sahiptir.
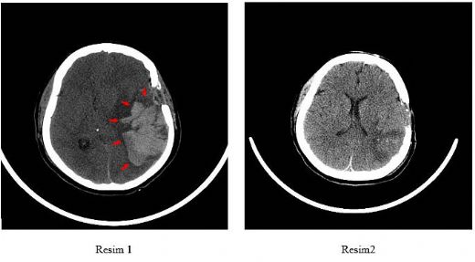
Beyin kanaması, merkezi sinir sisteminin en ciddi rahatsızlıklarından biridir ve acil müdahale gerektiren bir durumdur. Beyin tomografisi, bu tür kanamaların tanısında kritik bir rol oynamaktadır. Bu yazıda, beyin kanaması ve tomografi ile ilgili detaylı bilgilere yer verilecektir. Beyin Kanaması Nedir?Beyin kanaması, beyin dokusu veya çevresindeki alanlarda kan birikmesi anlamına gelir. Bu durum, çeşitli nedenlere bağlı olarak gelişebilir ve ciddi sağlık sorunlarına yol açabilir. Beyin kanaması türleri genel olarak üç ana kategoriye ayrılabilir:
Her bir tür, farklı klinik belirtiler ve tedavi yaklaşımları gerektirmektedir. Beyin Kanamasının NedenleriBeyin kanamalarının çeşitli nedenleri vardır. Bunlar arasında:
Bu nedenler, beyin kanamasının ortaya çıkma riskini artırabilir. Beyin Tomografisi Nedir? Beyin tomografisi, bilgisayarlı tomografi (BT) teknolojisi kullanılarak gerçekleştirilen bir görüntüleme yöntemidir. Bu yöntem, beyin dokusunun kesitsel görüntülerini alarak beyin kanamalarının, tümörlerin ve diğer anormalliklerin tespit edilmesine olanak tanır. Tomografi, hızlı ve etkili bir teşhis aracıdır ve acil durumlarda genellikle ilk tercih edilen yöntemdir. Beyin Kanaması Tanısında Tomografinin Rolü Beyin kanaması tanısında tomografinin önemi büyüktür. Tomografi, kanamanın yerini, boyutunu ve ciddiyetini belirlemek için kullanılır. Ayrıca:
Bu bilgiler, hastanın tedavi planının oluşturulmasında büyük önem taşır. Tomografi Sonuçlarının Yorumlanması Tomografi sonuçlarının yorumlanması, uzman bir radyolog tarafından gerçekleştirilir. Radyolog, görüntüler üzerinde dikkatlice analiz yaparak:
Bu değerlendirmeler, hastanın genel durumu ve tedavi süreci hakkında önemli bilgiler sağlar. Sonuç Beyin kanaması, ciddi bir tıbbi durum olup, hızlı ve etkili bir teşhis gerektirir. Tomografi, bu tür durumların tanısında kritik bir rol oynamaktadır. Erken tanı ve uygun tedavi, hastanın iyileşme sürecini büyük ölçüde etkileyebilir. Bu nedenle, beyin kanaması belirtileri görülen hastaların derhal tıbbi yardım alması hayati öneme sahiptir. Ek Bilgiler Beyin kanaması ve tomografi ile ilgili olarak ek olarak şu bilgilerin de dikkate alınması önemlidir:
Beyin kanaması ile ilgili bilgi ve farkındalık, bu tür acil durumların daha etkili bir şekilde yönetilmesine yardımcı olabilir. |






































Bilgisayarlı tomografi (BT) hakkında bilgi alırken, bu işlemin nasıl yapıldığını ve ne gibi durumlarda kullanıldığını merak etmiştim. Özellikle beyin tomografisinin kist veya tümör gibi durumlarda sağladığı veri önemini öğrenmek beni düşündürdü. Ayrıca, ilaçsız ve ilaçlı tomografi yöntemleri arasındaki farklar ve bu yöntemlerin hangi durumlarda tercih edildiği hakkında bilgi edinmek de oldukça ilgi çekici. Radyasyonun sağlık üzerindeki etkileri konusunda endişelerim vardı. Bu işlemin zarar verecek düzeyde radyasyon maruziyeti olmaması beni rahatlattı. Sizce bu tür görüntüleme yöntemlerinin gelişimi, sağlık alanında nasıl bir etki yaratıyor?
Saygı,
Bilgisayarlı tomografi (BT) işlemi, X-ışınları kullanarak vücudun kesitsel görüntülerini elde etmeye yarayan bir görüntüleme yöntemidir. Bu işlem, hastanın belirli bir bölgesinin detaylı incelenmesine olanak tanır. Özellikle beyin tomografisi, kist veya tümör gibi anormalliklerin tespiti açısından büyük bir önem taşır. Beyin yapısının net görüntülerini sağlayarak, doktorların tanı koymalarını ve tedavi planlarını oluşturmasını kolaylaştırır.
İlaçsız ve İlaçlı Tomografi Yöntemleri arasında önemli farklar vardır. İlaçsız tomografi, genellikle görüntüleme sırasında herhangi bir kontrast madde kullanılmadan yapılırken, ilaçlı tomografi, belirli bir bölgenin daha net görünmesi için kontrast madde uygulanarak gerçekleştirilir. İlaçlı yöntemler, özellikle damar yapılarının veya tümörlerin daha iyi değerlendirilmesi gerektiğinde tercih edilir.
Radyasyon maruziyeti konusunda endişeleriniz anlaşılabilir. Ancak modern BT cihazları, mümkün olan en düşük dozda radyasyon kullanarak görüntü elde etmeye çalışır. Bu da hastaların güvenliğini ön planda tutar.
Görüntüleme Yöntemlerinin Gelişimi, sağlık alanında büyük bir etki yaratmaktadır. Daha doğru ve hızlı tanı konulması, tedavi süreçlerinin iyileştirilmesi ve hasta takibinin daha etkin yapılabilmesi gibi avantajlar sağlamaktadır. Ayrıca, erken teşhis ile hastalıkların daha başarılı bir şekilde tedavi edilmesi mümkün hale gelmektedir. Bu durum, sağlık hizmetlerinin kalitesini artırmakta ve hastaların yaşam kalitesini olumlu yönde etkilemektedir.
Umarım bu bilgiler, merak ettiğiniz konular hakkında size yardımcı olmuştur.